治療例
矯正治療をお考えの全ての方が気にされるのが治療期間、とくに装置を装着している期間(動的治療期間)です。学生や社会人の方の中には、「治療期間が長くなるから」という理由で治療を断念される人も少なくありません。
成人矯正治療の場合、動的治療期間は非抜歯矯正(永久歯を抜かない場合)では1年半くらい、抜歯矯正(永久歯を何本か抜く場合)では2年~2年半くらいが一般的ですが、個人差や諸事情によりもう少し長期にわたる場合も多く、10代前半での矯正治療にくらべ長期化する傾向があります。
その成人の矯正治療期間を短期間にする治療法の一つが「矯正のスピード治療」で、簡単な外科処置により歯を支えている「歯槽骨」に小さな切れ目を入れて、治療期間を通常の半分以下に短縮する方法です。
矯正のスピード治療に関しては、治療可能な医院が少ないため、過去の治療例を見せてもらったり、よく質問をしたりして、信頼できる医院をしっかり選びましょう。
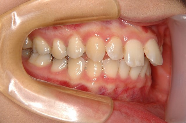
乱杭歯(八重歯)の矯正治療
抜歯をしないで治療した例
主訴:前歯の不揃い 診断名:Angle ClassI 叢生 年齢:26歳女性
装置:マルチブラケット(上顎裏側、下顎表側) 抜歯/非抜歯:非抜歯
動的治療期間:1年3ヶ月 治療回数:15回 治療費:約120万円
考えうるリスク:歯根吸収、歯の失活
交叉咬合(すれ違い咬合)で、左上の犬歯は八重歯になっていました。抜歯せずに治療ができて大変喜ばれました。
※ 治療結果は、患者様によって個人差があります。
抜歯をして治療した例
主訴:八重歯 診断名:Angle ClassI 叢生 年齢:17歳女性
装置:マルチブラケット(表側) 抜歯/非抜歯:上下顎左右第一小臼歯抜歯
動的治療期間:2年0ヶ月 治療回数:24回 治療費:約90万円
考えうるリスク:歯根吸収、歯の失活
上下とも著しい乱杭歯でした。みた目もかみ合わせも本当に良くなりました。
※ 治療結果は、患者様によって個人差があります。
出歯(上顎前突)の矯正治療
抜歯をしないで治療した例
主訴:出っ歯 診断名:Angle ClassI 叢生 年齢:17歳女性
装置:マルチブラケット(裏側) 抜歯/非抜歯:非抜歯
動的治療期間:1年7ヶ月 治療回数:19回 治療費:約135万円
考えうるリスク:歯根吸収、歯の失活
前歯が重なって出ていました。抜歯しないで矯正し、右奥歯のすれ違い咬合も改善され、かみ合わせも良くなりました。
※治療結果は、患者様によって個人差があります。
抜歯をして治療した例
主訴:出っ歯 診断名:Angle ClassII 上顎前突 年齢:27歳女性
装置:マルチブラケット(表側) 抜歯/非抜歯:上顎左右第一小臼歯抜歯
動的治療期間:1年11ヶ月 治療回数:23回 治療費:約100万円
考えうるリスク:歯根吸収、歯の失活
上顎のみ小臼歯を抜歯し矯正治療を行い、かみ合わせも良くなり、口元の突出感も解消されました。
※治療結果は、患者様によって個人差があります。
受け口(反対咬合、下顎前突)の矯正治療
抜歯をしないで治療した例
主訴:受け口 診断名:Angle ClassI 反対咬合 年齢:41歳女性
装置:マルチブラケット(表側) 抜歯/非抜歯:非抜歯
動的治療期間:1年8ヶ月 治療回数:20回 考えうるリスク:歯根吸収、歯の失活
治療費:約100万円(矯正)、約10万円(ホワイトニング)
抜歯しないで矯正した後、ホワイトニングもさせていただきました。
※治療結果は、患者様によって個人差があります。
抜歯をして治療した例
主訴:受け口 診断名:Angle ClassIII 反対咬合 年齢:35歳男性
装置:マルチブラケット(上顎裏側、下顎表側) ミニスクリュー(プロシード社)
抜歯/非抜歯:上顎左右第二小臼歯、下顎左右第二大臼歯抜歯
動的治療期間:2年6ヶ月 治療回数:30回 治療費:約130万円
考えうるリスク:歯根吸収、歯の失活
保存不可能な上顎第二小臼歯、下顎第二大臼歯を抜歯して、矯正治療により反対咬合の解消と良い咬み合わせが得られました。
※治療結果は、患者様によって個人差があります。
開咬の矯正治療
抜歯をしないで治療した例
主訴:咬み合わせが悪い 診断名:Angle ClassI 開咬 年齢:11歳女性
装置:マルチブラケット(表側) 抜歯/非抜歯:非抜歯
動的治療期間:1年7ヶ月 治療回数:19回 治療費:約90万円
考えうるリスク:歯根吸収、歯の失活
舌の習癖がありました。矯正と併行して舌機能訓練も行い、抜歯しないで、みた目もかみ合わせも良くなりました。
※治療結果は、患者様によって個人差があります。
抜歯をして治療した例
主訴:前歯が出ている 診断名:Angle ClassI 開咬 年齢:21歳女性
装置:マルチブラケット(表側) 抜歯/非抜歯:上顎左右第一小臼歯抜歯
動的治療期間:2年1ヶ月 治療回数:25回 治療費:約100万円
考えうるリスク:歯根吸収、歯の失活
奥歯は噛めても、前歯で噛めない「開咬」の例。上下前歯の前突も解消し、美しい歯ならびとかみ合わせになりました。
※治療結果は、患者様によって個人差があります。
すきっ歯(空隙歯列)の矯正治療
抜歯をしないで治療した例
主訴:すきっ歯 診断名:Angle ClassI 空隙歯列 年齢:60歳女性
装置:マルチブラケット(表側) 抜歯/非抜歯:非抜歯
動的治療期間:11ヶ月 治療回数:11回 治療費:約90万円
考えうるリスク:歯根吸収、歯の失活
隙間を閉じて、咬み合わせも治しました。「よく笑えるようになった。」と喜んでいただけました。
※治療結果は、患者様によって個人差があります。
コルチコトミー併用治療例
抜歯をしないで治療した例①
20歳女性 (動的治療期間)6ヶ月 (矯正装置)裏側
反対咬合の治療例。短期間でみた目もかみ合わせも良くなりました。
※治療結果は、患者様によって個人差があります。
抜歯をしないで治療した例
抜歯をしないで治療した例
主訴:前歯の不揃い 診断名:Angle ClassI 叢生 年齢:37歳男性
装置、治療法:マルチブラケット(唇側)、下顎前歯部コルチコトミー
抜歯/非抜歯:非抜歯 動的治療期間:6カ月 治療回数:12回 治療費:約130万円
考えうるリスク:歯根吸収、歯の失活
できるだけ早く治療したいと希望された患者様。凸凹の歯ならびが6ヵ月でキレイになりました。
※治療結果は、患者様によって個人差があります。
抜歯をして治療した例①
主訴:前歯の不揃い 診断名:Angle ClassI 叢生 年齢:40歳女性
装置、治療法:マルチブラケット(唇側)、上下顎コルチシジョン
抜歯/非抜歯:上下顎左右第一小臼歯抜歯 動的治療期間:12カ月 治療回数:24回
治療費:約150万円 考えうるリスク:歯根吸収、歯の失活
治療期間が長くなることに抵抗があった患者様。短期間で改善できて、とても喜ばれました。
※治療結果は、患者様によって個人差があります。
抜歯をして治療した例②
主訴:出っ歯 診断名:Angle ClassII 上顎前突 年齢:36歳女性
装置、治療法:マルチブラケット(唇側)、上顎コルチシジョン、ピエゾシジョン
抜歯/非抜歯:上顎左右第一小臼歯抜歯 動的治療期間:13カ月 治療回数:26回
治療費:約150万円 考えうるリスク:歯根吸収、歯の失活
短期間でお口元の突出感も改善できて、よく咬めるようになったと、とても喜ばれました。
※治療結果は、患者様によって個人差があります。
抜歯をして治療した例③
主訴:前歯の不揃い 診断名:Angle ClassI 叢生 年齢:27歳女性
装置、治療法:マルチブラケット(唇側)、下顎ピエゾシジョン
抜歯/非抜歯:下顎左側第二大臼歯抜歯 動的治療期間:9カ月 治療回数:18回
治療費:約130万円 考えうるリスク:歯根吸収、歯の失活
左下第二大臼歯の歯根が折れていました。その歯を抜歯し、親不知を並べ、全体の矯正治療も同時に行いました。
※治療結果は、患者様によって個人差があります。









