ホワイトニング
こだわりのホワイトニング
白くキレイな歯というのは、他人に与える印象を変えるだけでなく、自分の気持ちも明るくし、笑顔の絶えない豊かな人生を演出してくれます。二子玉川矯正歯科では、プロによる歯のクリーニングと併せ、短期間で集中的に白くしたい方向けのオフィスホワイトニング、自宅でできるホームホワイトニング、それらを併用したセットメニューをご用意いたしております。費用は¥3,500~¥35,000です。症状、ご希望によって、適応、費用が異なりますので、ぜひ一度お気軽にご相談ください。
*料金は税別になります。
歯のホワイトニングプログラム
ホワイトニングによって、歯は白くなったけど、しばらくするとまた元に戻ったという経験をお持ちの方も少なくないと思います。日常ではコーヒー、お茶、赤ワイン等、着色性の強い食品も多く、それらをよく口にされる方が白い歯をキープすることは容易ではありません。
二子玉川矯正歯科では、中長期を見据え、その方に合った無理のないプログラムを作成し、生活習慣、歯の質に応じたオーダーメイドの治療をご用意しています。
その中には、ホワイトニングはもちろん、歯の定期的なクリーニング、血行を良くする歯ぐきのマッサージ、着色を抑える専用歯磨き剤の使用も含まれます。これこそ当院が自信を持ってお薦めするプログラムです。
費用は白さを維持していく期間等により異なりますので、ぜひ一度、相談にお越しください。
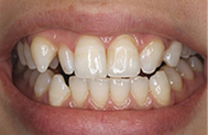
施術例 1
M.F様(女性)
BEFORE
AFTER
施術例 2
S.M様(女性)
BEFORE
AFTER









